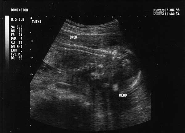
Ultrasounds
19 Weeks - Friday 7th August 1998.
Nineteen Week Scan 2